What is a Colles fracture?
A Colles fracture occurs on the distal part of the radius, the larger of two bones in the forearm. This kind of fracture results from an individual falling on to their outstretched hand. It is more commonly found in older populations due to poor bone health, which leaves them more susceptible to breaks, but can also result from high impact collisions in sports which cause athletes to land on the hand and forearm. This fracture causes the radius to move upward to create an obvious and prominent deformity.
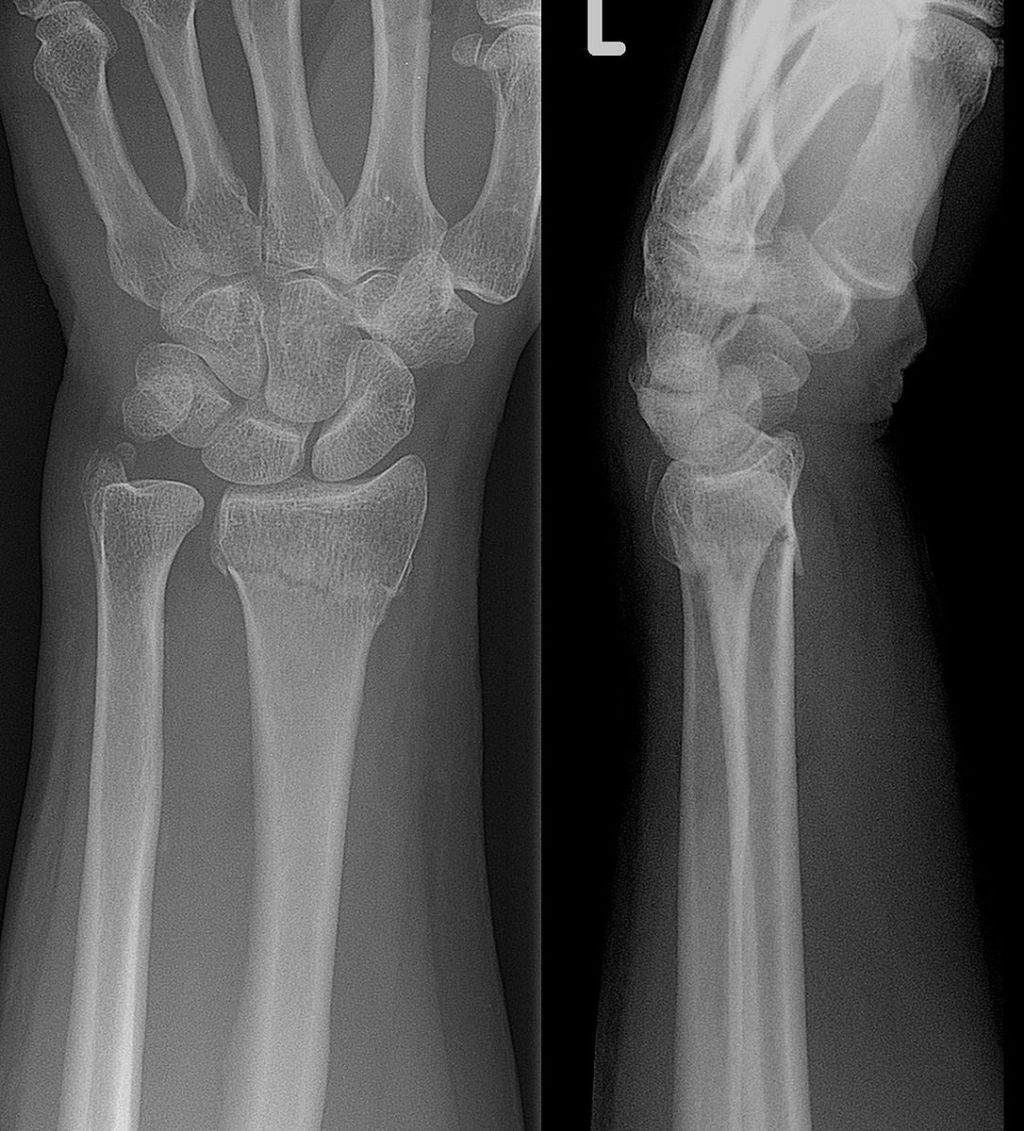
How does a Colles Fracture Present?
The deformity which results from the Colles fracture is referred to as “having a dinner fork presentation”. It is described this way because when fractured, the distal part of the radius moves upward creating an angle in the forearm near the wrist. The straight forearm, angled wrist, and curved hand, together form the image of a fork. Other ways an individual who has had a Colles fracture would present are as: having a history of a fall onto an outstretched hand, having swelling in the wrist or pain local to the wrist, a decreased ability to grasp and pick up objects, numbness, tenderness, bruising, or an angled deformity of the wrist.
Surgical and Non-surgical Treatment of a Colles Fracture:
A person with a Colles fracture will usually have pain, oedema, and decreased range of motion and strength. They will also likely have a decrease in their functional abilities. After the fracture is allowed to heal, which will generally take six weeks, sometimes shorter in young adults and longer in older adults who naturally have slower healing timeframes, rehabilitation will begin.
Non-surgical treatment of a Colles fracture will occur if the fracture is less severe and not very painful. If the bone is still within its regular alignment, a cast or splint may be used to set the bone in place to heal in its regular alignment. A splint may be considered over a cast if you are less active, as more active people are at risk of re-injury in a splint. If the wrist and hand is likely to still be used, such as in a young person, or an athlete, a plaster cast will be used for roughly 6 weeks with regular check-ups from a doctor to keep an eye on the healing process. A more severe fracture will result in more regular check-ups. Your doctor may refer for an X-ray to assess bone healing. In some cases, if the bone is close to its normal position, a technique known as closed reduction will be performed. This is where a doctor will move the bone to its correct position and cast, without a surgical incision being made.
The surgical treatment of a Colles fracture is either an internal or external fixation in which the bone is held together by means of plate and screws allowing the bone to heal in its correct and desired position. Once the bone has healed after surgery, the primary goal of rehabilitation is to get the wrist moving and regain range of motion. This is generally done at the 7-8 week point but if the fracture was managed with an internal fixation, may occur as early as 1 week after surgery.
How Does an Occupational Therapist Treat a Colles Fracture?
A Soft Tissue Occupational Therapist is a musculoskeletal therapist who treats soft tissue conditions, including complications of the muscles, tendons and ligaments of the body. When there is any trauma through any joint in the body, the normal response the body will provide, as a protective measure, is to contract the muscles to protect the surrounding structures. In this case, when the wrist joint is compromised, such as during healing or immediately after injury, the muscles of the wrist will tighten and may form tight, ropey bands of muscle fibres, or knots of tension in the muscle causing pain, which are known as trigger points. Occupational Therapists are experts in hands on treatment to get rid of muscle spasming and tightness caused by surgery.
During the early stages of rehabilitation, the main goal is to return range of motion of the wrist to its normal limits by conducting passive range of motion exercises initially and then moving on to active range of motion exercises. To begin with, an occupational therapist will look at moving the wrist through extension and flexion exercises within the individuals pain free limits and their current range. Range of motion exercises will help to regain free movement at the wrist joint but will also help to decrease oedema or swelling, and pain. Range of motion exercises are also important for scar management after surgery. To avoid contractures at the wrist joint and refrain from developing a large immobile and motion restricting scar, the scar tissue surrounding the site of surgery should be mobilised often. It is also important to move the surrounding structures including the shoulder, elbow, and fingers.
In the next period of rehabilitation, the therapist will continue increasing range of motion in the wrist, but will now also begin the individual on strengthening exercises. The progression of range of motion exercises will now include wrist flexion and extension, radial and ulnar deviation, pronation and supination of the forearm and wrist, and closing and opening the fist. After surgical treatment range of motion should be returned by 6-8 weeks post operation.
The therapist will then take the individual’s range of motion exercises and adapt them into strengthening exercises by the addition of a hand weight or resistance tape, or some object which provides resistance during grip exercises, such as a foam ball. The strengthening program provided will target all muscles of the forearm as well as muscles of the hand. During this stage, strengthening exercises should go hand in hand with stretching. Stretching will help to improve the individuals range of motion.
A therapist may also instruct the individual to conduct scar massage at home to the site of the surgery to reduce adhesion of scar tissue to surrounding structures in the wrist and prevent contracture and loss of range of motion, and also to reduce swelling.
Other ways the individual can continue rehabilitation at home are by completing exercises to improve range of motion, they can be every day activities including tearing paper, writing and drawing to strengthen the wrist and improve movements of the hand. These activities will help with achieving functional goals such as being able to use the thumb in opposition to assist in using the hand for activities of daily living such as doing up a buttoned shirt.
At Urban Health HQ our highly trained Soft Tissue Occupational Therapists will use a hands on approach to help treat your injuries, conditions or any concerns you may have. You can make an appointment today by calling 0411 563 391
